ブリッジをご希望の方へ
歯を「大きく削らない」
ブリッジがあります
ブリッジ治療。
強い衝撃でブリッジが外れるリスクがある。
ブリッジ治療。
強い衝撃でブリッジが外れるリスクがある。
ブリッジ治療。
強い衝撃でブリッジが外れるリスクがある。
ブリッジ治療。
強い衝撃でブリッジが外れるリスクがある。
ブリッジ治療。
強い衝撃でブリッジが外れるリスクがある。
下記の方にお勧めしています
- 「健康な歯」を削るブリッジに
「躊躇」している方 - インプラント治療に
「恐怖心」がある方 - 入れ歯の「見た目」が嫌な方
できるだけ「歯を削らずに済む」ブリッジとは…
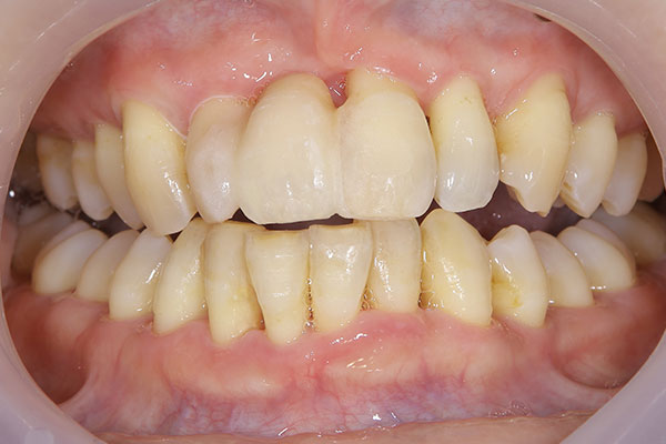
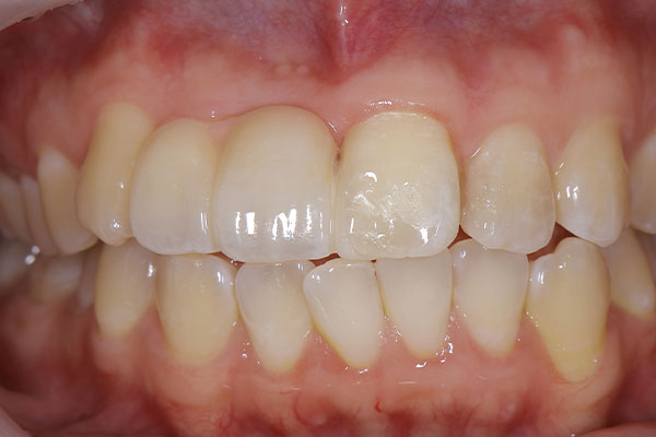
何らかの理由で、歯を失ってしまった際に、歯を補う治療が「ブリッジ治療」です。
ブリッジは、失った歯の両隣の健康な歯を削って装着する治療で、そこが大きなデメリットとなっていました。
歯が1本無くなった場合、その1本を補うのに健康な歯を2本犠牲にしなければならいないためです。
そんなデメリットを解決した「ブリッジ」があります。
「接着ブリッジ」と「インレー(アンレー)ブリッジ」です。それぞれ詳しくご説明します。
接着ブリッジとは
ブリッジ治療。
強い衝撃でブリッジが外れるリスクがある。
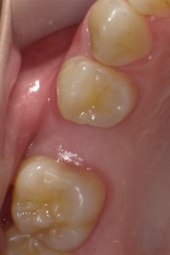
「接着ブリッジ」は、その名の通り、接着技術で歯を固定する方法です。全く歯を削らないことはないのですが、通常のブリッジよりも削る量は抑えられます。
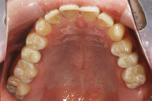
次の画像をご覧になると分かると思います。治療後の状態を裏側から撮影した画像です。
接着ブリッジは「特徴」は下記となります。
特徴1「健康な歯」をほとんど削らない
特徴2「歯の神経」を除去しない
特徴3「短期間で治療終了」(1回~2回の来院)
特徴4「金属アレルギー」が生じない
特徴5「外科処置」が必要ない
特徴6「目立ちにくい」つまり、入れ歯の見た目が嫌な方に推奨
そんな接着ブリッジにもデメリットが当然あります。通常のブリッジよりも「外れやすい」のです。
通常のブリッジと接着ブリッジを比較しましたので、ご確認ください。
インレーブリッジ/アンレーブリッジとは
ブリッジ治療。
強い衝撃でブリッジが外れるリスクがある。
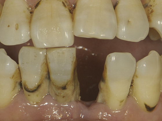
もう一つ、接着ブリッジとは別に歯を削る量が少ないブリッジがあります。「インレーブリッジ」「アンレーブリッジ」です。こちらは、接着ブリッジよりは、削る量が多くなってしまいますが、それでも通常のブリッジよりも大幅に削る量が少ないです。
接着ブリッジよりも、優れた点としては「しっかり固定できる」ことです。
こちらも、通常のブリッジと特徴を比較してみましたので、ご確認ください。
| メリット | デメリット |
|---|
一般的な ブリッジ
 | | |
インレー ブリッジ
 | - 通常のブリッジよりも歯を削らない
- 接着ブリッジよりも固定力が高い
- 歯の神経を残せる
| |
適応できるケースは限られます
お伝えした通り、接着ブリッジ、インレーブリッジは通常のブリッジに比べて、歯を削る量が少なくて済むという優れたブリッジですが、適応できるケースが限られます。
適応できなかった方は「通常のブリッジ」「インプラント」「入れ歯」を選択することになります。
下記に適応される条件を記しますので、ご確認ください。
適応される条件
- 両隣の歯が「天然歯」であること
- 両隣の歯が「健康」であること
- 噛み合わせの力が「強く加わらない部位」であること
最後に
当院では、歯科医師が独断で「治療法」を決めることはありません。
患者さんのご希望が第一です。患者さんのお考えをお聞きして、いくつのかの治療をご提案いたします。それぞれのメリットとデメリットも丁寧にお伝えします。
その上で、患者さんご自身でどの治療が良いかをご決定いただければと思います。
もしもブリッジをご希望されている方で、歯を削る量を抑えたいとお思いでしたら、一度ご相談ください。詳しくご説明いたします。
セカンドオピニオン/個別相談のご案内
当院では、患者さんが抱えていらっしゃるお口のお悩みや疑問・不安などにお応えする機会を設けております。どんなことでも構いませんので、私たちにお話ししていただけたらと思います。
ご興味がある方は下記からお問い合わせください。
保険の制度では、セカンドオピニオンとして保険が適応されていませんので、それぞれの医院によって内容が変わってきます。
※知識を聞くことを無料だと思っている方は、他院の保険制度をご利用ください。
※前医院の恨みつらみ、悪口などを申す機会ではございませんのでご理解ください。