成功率90%以上の
「米国式」根管治療

ご存じですか?
根管治療を繰り返すと、
いずれ抜歯になってしまいます。
歯を守るためには、
成功率の高い治療法が必要です。
- 「マイクロスコープ」
を使った精密根管治療 - 「ラバーダム」で
細菌をシャットアウト - 「レーザー」による殺菌
〒530-0002 大阪府大阪市北区曾根崎新地1丁目4−20 桜橋IMビル 4F
06-6344-5535


ご存じですか?
根管治療を繰り返すと、
いずれ抜歯になってしまいます。
歯を守るためには、
成功率の高い治療法が必要です。









虫歯が進んで歯の神経が虫歯菌に侵されると、菌に感染した神経を取り除き、歯の内部をきれいに掃除する「根管治療」を行います。
実は、日本国内における根管治療の成功率は、わずか50%程度です。歯の根を治療した患者さんの半数は、再び歯の痛みに苦しむことになるのです。
なぜ、こんなことになるのでしょう。理由は簡単です。根管治療を行っても、細菌を取り切れていないからです。取り切れなかった細菌が増殖し、再び炎症を起こします。
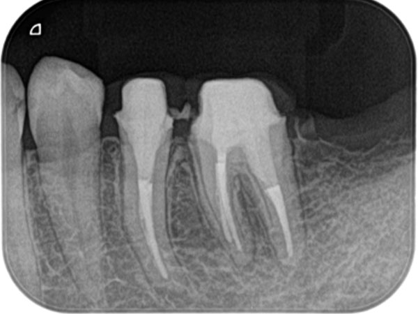
下の写真をご覧ください。歯の中に見える黒い部分が「根管」です。根管の形は複雑で、患者さんひとりひとりによって異なります。しかも細いところは直径1mmもありません。こんなに狭くて複雑な根管から、感染部位を正確に取り除くというのは困難を極めます。


脅かすわけではありませんが、もうひとつ付け加えます。 歯の神経は、歯に栄養を与えるという役目もあります。神経を取り除いた歯は、栄養を取り入れることができなくなり、枯れ木のようにもろくなってしまいます。
歯の根の痛みが再発し、ふたたび治療をするとなると、もろくなった歯をさらに削ることになります。歯はさらに弱くなり、いずれ、歯茎の中で歯の根が割れてしまうでしょう。こうなると、抜歯を避けられなくなります。
根管治療は、成功率の高い治療法を選ばないと、歯を守れないのです。
当院では、90%以上の成功率を誇る「米国式」根管治療を実践しています。

先ほど、日本における根管治療の成功率は50%程度と書きました。これに対して米国式の根管治療は90%以上の成功率があります。この違いはいったいどこにあるのでしょうか。
それは、保険診療の制約です。保険診療では、感染部位を取り除くのが難しいのです。米国式は自費治療となりますが、保険診療の制約がないので、成功率を高める器具や薬剤を利用できます。
日本式![]() | 米国式![]() | |
|---|---|---|
| ラバーダム利用 | ×or△ | 〇 |
| 利用する道具 | ステンレスファイル ※感染部位の除去が難しい | ニッケルチタンファイル ※感染部位を効率よく除去できる |
| マイクロスコープ | ×or△ | 〇 |
| 来院回数 | 4回~8回 | 1〜2回 |
| 充てん剤 | ゴム ※再発しやすい | MTA ※殺菌性に優れ再発しにくい |
以下、当院の米国式根管治療の特長を詳しく説明します。
「マイクロスコープ(歯科用顕微鏡)」とは、その名の通りに患部を拡大して見るための装置です。根管の形状は複雑で狭く、直径1mmに満たないところもあります。こんなに狭い根管から感染部位を除去するためには、どれだけしっかり目視できるかが治療の成否を分けます。

下の画像をご覧ください。これが、マイクロスコープで拡大した患部です。この機器を利用することで、再発や抜歯を回避できる確率が格段に高まりました。


複雑な根管を治療するには、事前の画像診断で根管の形状を可視化することが重要です。多くの歯科医院では、画像診断に「2次元」のレントゲンが用いられますが、レントゲンでは初期の患部を見つけにくい上に、根管の複雑な形状をしっかり可視化するほどの力はありません。
そこで、当院では3次元で撮影ができる「CT」を利用します。CTはあごの骨の中を立体的に可視化するので、レントゲンには写らない患部の様子までがしっかりわかります。日本国内の歯科医院での、CTの普及率は5〜10%程度と言われています。
根管治療は、目には見えない虫歯菌との戦いです。当院では、「レーザー」「ラバーダム」などを用いて、殺菌、再感染防止に取り組んでいます。

根管治療では、根管内の清浄、消毒を徹底して行うことで成功率が上がります。当院では、強い殺菌力を持つレーザーの光を根管内に照射することで、虫歯菌を退治して再発のリスクを抑えます。

唾液の中には、多くの細菌が含まれています。せっかく根管内をきれいに掃除しても、唾液が浸入すると根管が再び汚染されてしまいます。
当院では、「ラバーダム」というゴム製のシートで患部以外の口腔を覆うことで、唾液の浸入を完全にシャットアウトした状態で治療します。
ラバーダムを利用することで、根管治療の成功率は飛躍的に高まります。日本国内ではラバーダムはあまり利用されていないのですが、アメリカではラバーダムなしに治療をすると、医師免許が取り消されるほど重要視されています。

実際に神経組織を取り除く作業には、「ファイル」というヤスリのような器具を利用します。
多くの歯科医院ではステンレス製のファイルが利用されていますが、当院はニッケルチタン製のファイルを使います。ニッケルチタンファイルは柔軟性に優れ、複雑な形の根管を掃除するのに有効です。
感染した神経組織をファイルで除去する際、根管の内部に細かい削りカスが散らばります。削りカスにもたくさんの虫歯菌が付着しているのですが、これらをひとつひとつ手作業で除去するのはほぼ不可能で、多くの歯科医院では削りカスを残したまま歯の穴に蓋をして治療を終えてしまいます。これが根管治療の成功率が低い原因のひとつにもなっています。
当院では「ジロソニック」という機器を用いて根管内を洗浄します。超音波と水流で、根管内の奥深くにある削りカスを洗い流します。

さらに、「EDTA」「次亜塩素酸ナトリウム」という薬剤で患部を洗浄することで、削りカスを溶かして消毒します。これらの手間をかけて、根管内を殺菌して治療の成功率を高めています。



根管治療の仕上げとして、「根管充てん」という工程があります。神経を除去したことによってできた空洞を充てん剤で埋めて、すき間がないように緊密にふさぎます。すき間を残してしまうと、ここから再び細菌が侵入し、症状が再発する危険性があります。
一般的な保険診療では、「ガッタパーチャ」というゴムのような充てん剤を利用しますが、ガッタパーチャではすき間ができやすく、再発しやすい原因のひとつになっています。
そこで、当院では「MTAセメント」という充てん剤を利用します。MTAセメントは硬化の際にわずかながら膨張する性質があり、根管内をすき間なく埋めるのに適しています。また、とても固く、神経を取り除いた歯を内部から補強する効果もあります。さらに殺菌作用や歯の組織を再生させる効果があり、治療後の経過が良好になります。

根管治療を行っても症状が改善せず、再発を繰り返すといずれ「抜歯」となるのが一般的です。しかし当院では、「歯根端切除術」や「破損歯牙再植術」などの術式で、抜歯をしないで治療することが可能です。
※すべての症例で抜歯せずに治療できるわけではありません。
根管治療がうまくいかなかった場合、歯の根の先端に膿がたまることがあります。膿が溜まっている袋が大きいと抜歯になりますが、そうでない場合は外科的な処置で治療できることがあります。歯茎を切開して歯の根を切断し、膿の袋を摘出します。この処置を「歯根端切除術」といいます。


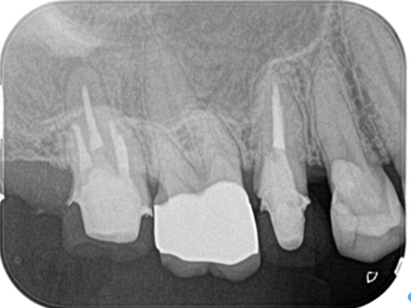
術前

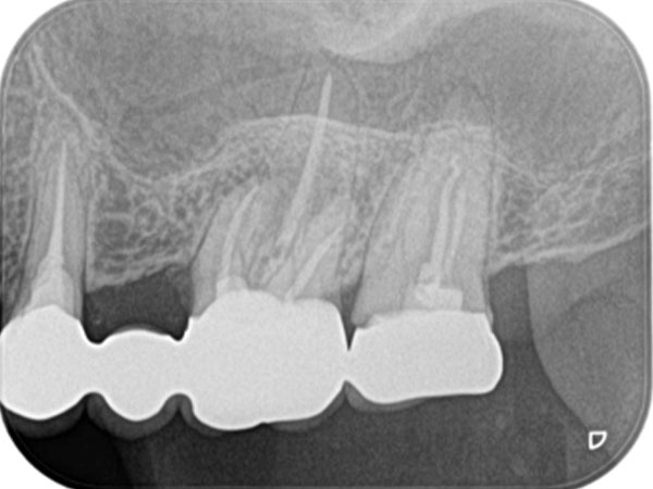
術中

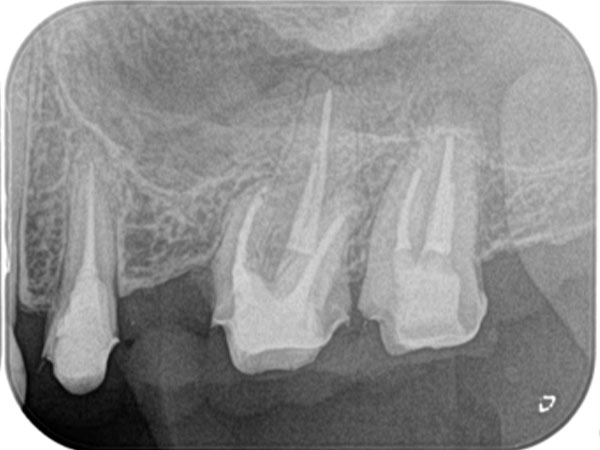
術後
神経を取り除くと、歯は徐々にもろくなっていきます。普段の食事中以外でも、食いしばりや歯ぎしりなど、歯にはさまざまな負荷がかかっています。もろくなった歯は負荷に耐えられなくなり、割れてしまうことがあります。
こうなると一般的には抜歯となりますが、状態によっては「破損歯牙再植術」という治療法で、歯を残せることがあります。
破損歯牙再植術とは、問題の歯をいったん抜歯して、修復、殺菌などの処置を行ってから元の場所に戻す術式です。対応可能なケースは限られますが、歯を残せる可能性があるのなら検討したい治療法です。
当院では、患者さんが抱えていらっしゃるお口のお悩みや疑問・不安などにお応えする機会を設けております。どんなことでも構いませんので、私たちにお話ししていただけたらと思います。
ご興味がある方は下記からお問い合わせください。
保険の制度では、セカンドオピニオンとして保険が適応されていませんので、それぞれの医院によって内容が変わってきます。
※知識を聞くことを無料だと思っている方は、他院の保険制度をご利用ください。
※前医院の恨みつらみ、悪口などを申す機会ではございませんのでご理解ください。
