ICOI国際インプラント学会
認定医/指導医が在籍

インプラント歴30年以上/
通算3000本以上の実績
- 「切らない/縫わない/
腫れない」インプラント - 「手術当日」にお食事ができる
インプラント
※セカンドオピニオンも可能※
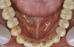
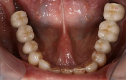
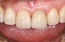
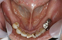
インプラントで噛み合わせの再構成を伴った症例。
治療後のメンテナンスを行わないと
周囲炎になるリスクあり。
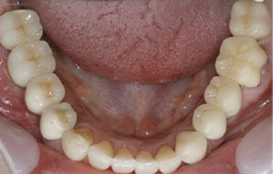
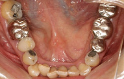
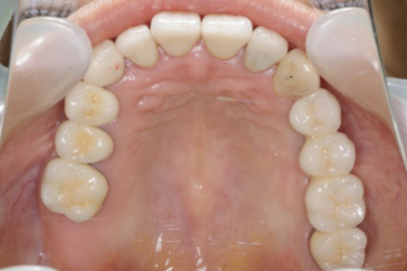
インプラントで噛み合わせの再構成を伴った症例。
治療後のメンテナンスを行わないと
周囲炎になるリスクあり。
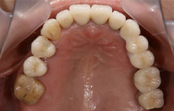
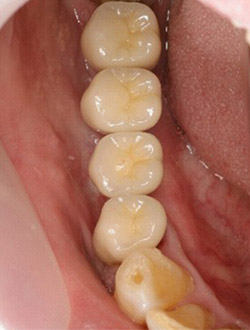
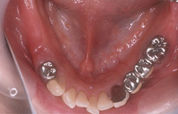
インプラントで噛み合わせの再構成を伴った症例。
治療後のメンテナンスを行わないと
周囲炎になるリスクあり。
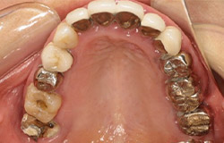
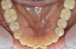
インプラントで噛み合わせの再構成を伴った症例。
治療後のメンテナンスを行わないと
周囲炎になるリスクあり。
インプラントで噛み合わせの再構成を伴った症例。
治療後のメンテナンスを行わないと
周囲炎になるリスクあり。
インプラントで噛み合わせの再構成を伴った症例。
治療後のメンテナンスを行わないと
周囲炎になるリスクあり。
インプラントで噛み合わせの再構成を伴った症例。
治療後のメンテナンスを行わないと
周囲炎になるリスクあり。
その他のインプラント症例
インプラント「専門医」のご紹介
当院のインプラント治療は、院長の川里と堀内が担当します。両者とも、これまで日本国内外で学び、知識や技術を磨いてきました。そのため、「難症例」と呼ばれるケースでも、当院なら対応できます。
川里 邦夫 (ICOI 国際インプラント学会認定医/指導医)
資格
- 国際口腔インプラント学会(ICOI)認定医/指導医 取得
- 米国インプラント学会アクティブメンバー取得
- 歯周インプラント認定医 取得
- 顎咬合学会 認定医取得
- 日本歯周病学会 認定医/専門医/指導医 取得
- 臨床歯周病学会 認定医 取得
- 日本歯科放射線学会 歯科エックス線優良医 取得
- 日本放射線歯科学会准認定医 取得
- 日本臨床歯科学会認定医 取得
- 日本歯周病学会指導医 取得
→詳しくはこちら
堀内 克啓
資格
- 日本口腔外科学会 専門医/指導医
- 日本口腔インプラント学会 専門医/指導医
- 日本顎顔面インプラント学会 専門医/指導医
- 日本歯科麻酔学会 認定医
「痛み」の軽減と「治療期間」の短縮を実践
外科処置を伴うインプラント治療に対して、「怖い」「痛い」「腫れる」「治療期間が長い」等のイメージをお持ちの方も多いのではないでしょう。当院ではそういった方でも安心して治療を受けていただけるよう、「睡眠無痛治療」や「フラップレス(無切開)治療」「即時抜歯荷重」を行っております。それぞれご説明します。
歯科恐怖症/「痛み」が苦手な方へ

歯科治療に対して恐怖心を抱いていたり、痛みを感じやすい方にとって外科処置を行うインプラント治療は、ハードルが高く感じられるかもしれません。その場合、当院では「静脈鎮静法」を行います。
静脈鎮静法は、鎮静剤を点滴し、半分眠ったような状態で治療を受けられるため、痛みや恐怖心を感じることなく手術を終えられます。全身麻酔に近い麻酔法ですが、全身麻酔と比べて身体への負担は少なく、副作用や後遺症などもないので、安心してお受けいただけます。
実際に治療を受けられた患者さんからは「寝て起きたら治療が終わっていた」「ストレスフリーに治療を受けられた」など喜びの声が届いています。
当院の静脈内鎮静法は、日本歯科麻酔学会認定医と共に治療を行います。
当院の痛くないインプラント治療の6つの特徴をご説明します。
ポイント1CT撮影によるリスクの回避
当院でのインプラントオペは、患者さんに術前に必ずCT撮影をおこなっていただき、骨の厚みや神経の走行を確認します。インプラントの長さ・埋入方向を決定するためにCTは大事な情報となります。CT撮影を行うことにより、さまざまなリスクを回避することができ、安心・安全なオペを患者さんに受けていただくことが出来ます。
ポイント2完全滅菌オペ室
インプラントを行っている歯科医院はたくさんありますが、完全な滅菌操作を行っているところばかりとは限りません。
インプラントは清潔なオペ室で厳重な滅菌操作の元に行う必要があります。当院はインプラント用のオペ室を完備し、完全な滅菌操作にて感染を予防したオペを行います。
ポイント3無痛麻酔
インプラントを行う際には、当然ですが麻酔を行います。
「でも、その麻酔が、痛いんですよね…」と、患者さんは不安になられるようです。当院はインプラントに限らず、治療では常に「痛くない麻酔」を行っています。
※なぜ、麻酔が痛くないのか
表面麻酔をしっかり効かせます。
麻酔薬のしみこんだ綿級を粘膜に塗ります。
これにより針の刺入時の痛みを和らげることができます。
- 麻酔液が冷たいと、温度差で痛みを感じやすいので、必ず体温と同じぐらいに温めてから使用します。
- 針の刺入後も、浅い部分からゆっくり時間をかけて徐々に深い部分へ効かせていきます。
麻酔液を急速に注入するととても痛いので、注入のスピードを遅くすることで痛みを与えないようにしています。このように麻酔に関して気を配って行うため、痛くない麻酔が可能です。
ポイント4手術範囲を最小限にする工夫
インプラント埋入の際には歯肉を切り開きますが、不必要に大きく開くと、それだけ感染のリスクが上がります。前述のように、CTで埋入位置・方向などをしっかり確認して行うため、歯肉を開く範囲も必要最小限度にすることが可能です。また、術後の縫合の際にも、歯肉を傷つけない独自の術式を取り入れています。こうして腫れに対するリスクを回避するため、術後ほとんどの方が腫れることなく、8割以上の人が痛み止めを飲まなくても済むほどです。歯肉を開く範囲を最小限に止め、きれいに縫合することで痛みが少なく、傷の治癒も早くなります。
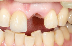
ポイント5抜歯を行う際の病巣の確実な除去
病巣があり、抜歯をしなければならない部分に、抜歯後即時にインプラントを埋入することがあります。
このとき、抜歯後の病巣を完全に取りきることが、骨の回復・インプラントの成功の大きな鍵となります。病巣を取りきる際、当院では特に注意を払い、適切な器具を用いて処置をしています。
抜歯を伴う症例。抜歯後の病巣に対する処置が、インプラントの成功の決め手となります。
ポイント6オペ時間の短縮
オペ時間が不用意に長いと、それだけ術野は感染のリスクにさらされます。
いかにすばやく、確実にオペを行うかが、感染予防においてとても重要です。
すばやいオペは、患者さんの身体への負担も少なくなります。
そのために日々、インプラントオペ担当のスタッフとの連携・教育を行い、スムーズなオペを実現しています。
「切らない、縫わない、腫れない」
インプラント治療

インプラント治療は外科処置を伴うため、痛みや治療期間を心配される患者さんも少なくありません。しかし、ケースによっては「切らない/縫わない/腫れない」かつ短時間でインプラント治療が行えます。
これは「フラップレス(無切開)治療」といい、一般的に行われている歯肉の切開をしない治療法です。具体的には、歯肉に小さい穴を開け、そこにインプラントを埋入します。
切開なしで治療が行えるため、縫合の必要もなく、処置時間も短縮できます。
もちろん、痛みや腫れも切開するケースと比べて抑えられるため、患者さんにとって負担の少ないインプラント治療と言えます。
「一般的な方法」と「フラップレス」の比較
| 一般的な方法
 | フラップレス
 |
|---|
| 歯茎の切開 | 必要 | 不要 |
| 処置後の縫合 | 必要 | 不要 |
| 痛み | ある | 少ない |
| 腫れ | ある | 少ない |
| 処置時間 | 比較的長い | 10分程度 |
その日のうちに歯が入る
「抜歯即時荷重インプラント」
抜歯即時荷重インプラントは、抜歯とインプラントの埋入を同時に行う治療法です。抜歯の際にできた穴にインプラントを埋入するため、通常の治療で行う歯肉の切開や縫合をする必要もなく、治療期間も大幅に短縮できます。
また、オペ当日に「仮歯」が入るので、見た目や食事の心配がないというメリットもあります。
見た目だけじゃないインプラント治療
白く、美しく、機能的な歯のために
しっかり噛めて、なおかつ見た目が良い…といったごく当たり前の歯科治療のことを「審美歯科」と言います。
ただ美しさだけを追求するのではなく、機能の向上も目指します。
見た目はいいから、噛めるようにしてほしい
この要望は、果たして実現可能でしょうか?
口元の見た目がそこそこで、十分な噛み合わせは望めるでしょうか?
見た目は、歯の色だけではなく形やバランスにも影響されます。見た目の良い歯は、良い形・良いバランスをしているものです。
つまり、見た目が良い歯ほど、よく噛めるということではないでしょうか? 「見た目はいいから、しっかり噛めるようにして欲しい」 そんな治療はできません。
しっかり噛めるように治療をすれば、それに伴って見た目も良くなります。
歯科治療に限らず、どんな治療においても機能的な要素と審美的な要素は密接に関係しており、無視はできません。
よく噛めるとは

臼歯部において、第一大臼歯には7~8点の接触点が必要といわれています。
しかし、保険適用の銀歯だと、咬む接触点は2~3点が限界です。
それは、材料的に適合精度に限界があり、製作工程1回と少ないからです。これでは、噛めるとは言えません。
見た目もよくありません。
しかし、保険外のセラミックだと、きちんと咬み合わせる事ができます。
それは、適合精度がよく(30~40ミクロン)、製作工程は4回あるからです。
咬む接触点の数が多く、7~8点以上あります。しかも、歯に近い色です。形は天然歯のようです。
よく噛めるということは、見た目もいいのです。
よく噛めるようにするには、保険外というより、
- 材料は、かみ合わせを足すことのできる材料を使用すること
- 製作回数が必要であること、適合精度がいいこと
- 特にインプラントの場合は、天然歯以上に精度が必要であること
を厳守しなくてはなりません。
見た目がいいとは
「審美歯科」という分野は、あたかもそういう独立した分野があるかのように考えられていますが、もともと単独で存在するものではありません。実際は歯科医療すべてに審美的な視点は必要であり、虫歯治療を始め、歯周病治療にも、インプラント治療にも、入れ歯にも含まれているのが正しい「審美歯科治療」だと言えます。 一時的に見た目を良くすることは簡単ですが、長期にわたって美しい歯を維持していく為には、その人に合った根拠ある審美性が求められます。ただ闇雲に治療するのではなく、総合的に口腔内を改善させることが大切なのです。
当院のインプラント治療 「3つ」のコンセプト
インプラント治療は、「外科処置」を伴うため、一般的な歯科治療とは異なります。
そのため、通常の治療以上に安心・安全かつ確実に治療を進めなければなりません。
当院では、そのためにさまざまな取り組みを行っています。それぞれご紹介します。
取り組み1人為的ミスを排除する「3Dコンピューターインプラントシステム」

当院では、3Dコンピューターインプラントシステムを実施して人為的なミスを排除しています。CT、およびシミュレーションソフト・ガイドを活用することで、「データ」に基づいた手術が可能になり、安全性/正確性の向上につながります。
CT装置

CTを活用することで、骨の状態や神経の位置などを立体的に把握できます。
一般的なレントゲンでは「見えない/わからない」ことも映し出してくれるため、正確な診査・診断が行えます。また、治療の安全性や確実性も向上します。
シミュレーションソフト

インプラントは一度埋入するとやり直しができません。そこで、事前に撮影したCT画像をもとに、神経や血管の位置を確認しながら、インプラントを埋入する位置、方向、深さなどを画像上で緻密に検証します。こうすることで、手術中に起こるトラブルを回避させ、安全かつ正確なインプラント治療が可能になります。
ガイドの利用
CT検査やシミュレーションデータをもとに、インプラントを埋入する位置・長さ・角度などを反映させたマウスピース型の装置です。これを手術の際にお口にはめ、穴にそってインプラントを埋入すれば、シミュレーション通りのオペが可能になります。また、オペ時間の短縮にもなるため、患者さんの負担も軽減されます。
その他にも次の「精密機器」を
活用しています

インプラント治療は、安全性と確実性が求められるため、歯科医師の経験や勘だけを頼りに治療を行うことはできません。当院では、肉眼の何十倍も視野を拡大してくれる「マイクロスコープ」を導入し、目では見えない部位までもしっかり確認しながら治療を行います。
ピエゾサージェリー
「ピエゾサージェリー」は超音波を利用した機器です。通常、インプラントを埋め込む際は、「ドリル」で骨に穴をあけてネジを埋め込んでいきます。この時、血管や歯肉などの周囲の柔らかい組織を傷つけてしまう恐れがあります。しかし、ピエゾサージェリーは骨や歯のように「硬いもの」だけを削ってくれるため、血管や歯肉などを傷つける心配がありません。また、ドリルのような振動もなく、治療後の回復が早くなるという特徴もあります。
取り組み2安心と信頼の「実績」があるメーカーを採用
インプラントメーカーは年々増加しています。どのメーカーも安心して使えれば問題ないのですが、残念ながら実際はそうではありません。当院では、そうした現状を踏まえて、あらゆるメーカーの中から、日本国内外のドクターから高評価を受けているメーカーを採用しています。それぞれの特徴は次の通りです。
ストローマン
ストローマンは世界シェア1位を誇り、品質・実績ともに定評のあるトップメーカーです。日本国内外のドクターから高い評価を受けています。10年間の臨床研究ではインプラント治療の成功率が約97%、生存率が約98%というデータもあります。
ノーベルバイオケア
ノーベルバイオケアは1965年に初めてインプラント治療を行った会社です。歴史のあるメーカーで、ストローマンに次ぐシェアを誇ります。埋入されてから40年以上使われたという実績もあります。
カムログ
ドイツでトップシェアを誇るインプラントメーカーです。
ドイツだけに限らず、アメリカやヨーロッパ、アジアなど各国で広く使用され、高い評価を受けています。
特徴としては、インプラント本体と人口歯を繋ぐ部分の安定性に優れており、長期間使用しても、人口歯がずれにくいです。そのため、噛み合わせの悪化を防ぐことができます。
取り組み3厳格なヨーロッパ基準の「滅菌体制」
オペ室

インプラント治療は外科的処置を伴うため、当院では専用の「オペ室」を設置しています。さらにオペ室には「天井設置型の空気清浄機(エアクリーンプラス)」を設置し、衛生管理を徹底しています。このエアクリーンプラスは短時間で細かな粉塵を排除してくれるため、感染予防と対策として非常に効果的です。
DAC
ドイツ製シロナ社の「DACユニバーサル」を導入しています。
これはダービンやコントラなど治療で使用した器具を滅菌・消毒する機器です。通常の滅菌機では滅菌が難しい製品も確実に滅菌でき、院内感染の防止につながります。
ジェットウォッシャー
ドイツのMiele&Cie.KG社製のジェットウォッシャーを導入しています。タービン、コントラ、ストレートハンドピース(歯を削る機械)を、精製水や電解水を用いて、機械の内部、外部を洗浄・滅菌します。
クラスBオートクレーブ-Lisa-
オートクレーブとは高温・高圧で治療器具を滅菌する装置です。
当院ではヨーロッパ基準EN13060をクリアしたクラスBの滅菌システムを利用しています。
他院で治療を「断られた方」へ
インプラント治療を希望していても、患者さんによってはお断りされることがあります。その原因は主に下記の二つです
糖尿病/心臓病をお持ちの方
「糖尿病」や「心臓病」、「高血圧」などを理由にインプラント治療を断られるケースは少なくありません。その理由としては、免疫機能の低下や薬の服用などが挙げられ、持病がない患者さんよりもリスクが高いと判断されることが多いからです。
しかし、近年では、体調の改善を行い、生体モニタリングなどを注視しながら行うこと、治療が可能になることがあります。持病を理由に他院で断られた方は、ぜひ一度ご相談ください。
骨が少ない/薄い方
インプラントは顎の骨に人工歯を埋め込むため、顎の骨が「少ない」「薄い」という理由で治療を断られる患者さんがいます。
しかし、当院ではそういった難症例でも、「骨造成」という骨を創る治療を行うことで、インプラントを埋入することが可能です。この骨造成は非常に高い技術を要するため、簡単にどこの歯科医院でもできるわけではありません。詳しくご説明します。
足りない骨を補う「骨造成治療」
インプラントの埋入には、一定の「骨の高さや厚さ」が必要になります。しかし、患者さんによっては、歯周病や加齢によって骨の量が不足している方もいらっしゃいます。そういったケースの場合、骨を増やす「骨造成」を行います。この処置を行わなければ、せっかく埋入したインプラントが骨から飛び出してきたり、不安定になったり、することがあります。そのために、他の部位から骨を移植したり、薬剤を活用したりして骨を創ります。
具体的には「GBR法」「サイナスリフト法」「ソケットリフト法」と呼ばれる術式を行います。それぞれの特徴は下記の通りです。
| GBR法 | 主に下顎に対して行う術式です。骨を増やしたい部位に。人工骨や骨補填材を入れ、メンブレンという膜で覆います。この膜が細菌の侵入を防ぎ、骨の再生を促します。 |
| ソケットリフト | 上顎の骨の厚みが6mm以上で、尚且つ足りない場合に行う術式です。骨補填材を入れるスペースを確保し、そこに骨補填材に入れて骨を創ります。 |
| サイナスリフト | 上顎の骨の厚みが5mm以下で、尚且つ足りない場合に行う術式です。骨補填材を入れるスペースを確保し、そこに骨補填材に入れて骨を創ります。 |
骨が少ない/薄い方の症例
リスク・副作用として
インプラント周囲炎あり。
リスク・副作用として
骨吸収、インプラント周囲炎があります。
治療後は、「インプラント周囲炎」に注意する必要があります
時々、「インプラントは人工歯だから虫歯や歯周病にならない」と思われている方がいらっしゃいます。しかし、実際はそうではありません。
実は、「インプラント周囲炎」と呼ばれる歯周病に似た症状が起こるリスクがあります。
当院の院長は歯周病の「専門医/指導医」ですから、インプラント周囲炎への処置もお任せください。さらに、歯科衛生士の鈴木は臨床歯周病学会認定歯科衛生士という、衛生士の上位資格を保有しています。万全のサポート体制がありますので、ご安心ください。
歯科医師 川里 邦夫
資格
- 日本歯周病学会 認定医/専門医/指導医 取得
- 歯周インプラント認定医 取得
- 臨床歯周病学会 認定医 取得
- 日本歯周病学会指導医 取得
- 国際口腔インプラント学会(ISOI)認定医/指導医 取得
- 米国インプラント学会アクティブメンバー取得
- 顎咬合学会 認定医取得
- 日本歯科放射線学会 歯科エックス線優良医 取得
- 日本放射線歯科学会准認定医 取得
- 日本臨床歯科学会認定医 取得
歯科衛生士 鈴木 朋湖
- 臨床歯周病学会認定歯科衛生士
- 日本顎咬合学会指導歯科衛生士
- 日本臨床歯科学会会員(大阪SJCD)
- 日本歯周病学会会員
- 日本臨床歯周病学会会員
- 日本顎咬合学会会員
せっかく時間もお金もかけたのに、アフターケアが理由でまた大切な歯を失って欲しくはありません。当院では、お口の健康のため、患者さんと二人三脚で歩んでいきます。
セカンドオピニオン
「セカンドオピニオン」とは、主治医以外の医師に診断や治療方針に関する意見を聞くことです。
知識や得意分野の違いによって、同じ症例に対しても医師ごとに意見が異なる場合があります。また、自由診療であるインプラントの場合は、医院の持つ医療技術や費用に大きな差が出ることも考えられます。
そこで、患者様にとって最善と考えられる治療を客観的に判断する為に、主治医以外の意見を聞くことが「セカンドオピニオン」です。
その結果によっては、治療する医院を変更することも可能です。
日本では、まだあまり認知されていない制度ですが、歯科先進国であるアメリカでは複数の医師の意見を聞いた上で、治療を行うことがほとんどです。
日本でも患者様の意識の高まりや、近年の医療過誤をめぐるトラブルなどからセカンドオピニオンの利用が増えています。
インプラント治療を受けた医院に、自分が感じる違和感や不満を伝えづらい。そんな方の為に、当院ではメールでの無料相談をしています。お気軽に、ご相談下さい。
患者さんからよくいただく質問
- 手術は痛かったり、腫れたりしませんか?
- 一般的に抜歯する程度の痛みです。
- 手術の際は、入院が必要ですか?
- 手術後の安静は必要ですが、入院を必要としないことがほとんどです。
- 治療期間はどのくらいかかりますか?
- 手術方法が1回法か2回法かによりますが、噛めるようになるまでには3~12ヶ月程度です。
- インプラントの噛みごこちは?
- 自分の本当の歯に近い感覚で噛むことができます。
- 誰にでもインプラントは可能ですか?
- 骨の状態で不可能なことはほとんどありません。顎の骨の大きさや形状により不可能な場合は、骨をつくって埋入します。(GBR・ソケットリフト・サイナスリストなど)
ただし、きちんとブラッシングのできない方は不適応です。 - 糖尿病などの病気がありますが、可能でしょうか?
- 病気により手術ができない場合がありますので、詳しい病状を伝えてください。
- 何歳くらいまでインプラントは可能でしょうか?
- 一般的に成長期の患者さんには行いませんが、80才以上の高齢者でも行われているケースもあります。
- 治療費はどれくらいかかりますか?
- 健康保険に適用されていません。埋入するのに1歯30万円、かぶせるのに1歯10万円を目安としてください。
- 一生もちますか?
- 残念ながら、無理です。自分の歯でさえ、一生もたせるのは難しいので、インプラントも同様と考えてください。ただ、虫歯にはなりませんし、ご自身の歯よりは長い根をもった歯を得られます。
- インプラントの成功率は?
- インプラントが、骨と結合する(オッセオインテグレーション)率は、上顎のインプラントは98%、下顎のインプラントは99%以上です。骨と結合しない原因は、骨密度や糖尿病、歯周病菌による感染、喫煙などが考えられます。
- 歯が1本もない場合でも、可能ですか?
- 可能です。失った歯の本数は、関係ありません。歯が1本も残っていない患者さんには、上顎、下顎に6~8本のインプラントを埋入して、人工の歯を取りつけます。埋め込むインプラントの本数を少なめにして、磁石を使い入れ歯を磁力で安定させる方法もあります。
- 交通事故で歯を失くしたときでもできますか?
- できます。歯周病などで歯を失った場合と違い、骨がたくさん残っている可能性が高いため、インプラント治療が有効です。
- インプラント治療が適しているのはどんな人ですか?
- ご自身の健康に気を使っておられる方におすすめです。インプラントは全身の健康にもつながります。
そのほか、局所的な要因としては、次のような方です。 歯を削りたくない方
ブリッジや、入れ歯の欠点をよく知っておられる方
入れ歯が合わない方
硬いものを食べたい方
胃腸の弱い方などです。 - インプラント治療が受けられない人は、どんな人ですか?
- 心疾患がある方、重度の糖尿病、重度の骨粗しょう症、顎の骨が極めて少ない方などです。ただし、条件しだいでは、可能なことも多いです。
相対的禁忌症としては、歯ブラシが嫌いな方、ヘビースモーカー、検診にお越しいただけない方などです。
そのほかは基本的には受けられますが、15歳未満の方や全身の健康状態が著しく悪い方は適していません。 - インプラントをすると、どんなメリットがありますか?
- たくさんあります。
- ・何でもよく噛める。
- ・入れ歯のような不快感がない。
- ・インプラントがよく仕事をする(噛む力が強い)ので、まわりの天然歯を守る。
- ・噛む刺激が脳細胞を活性化し、思考力が高まり、また老化も防げる。
- ・チタンは活性水素を発生させ、体の中から若返るといわれている。
- ・食事が楽しくなり、ご家族、友人との食事中に笑顔があふれる。
- ・人生に前向きになり、積極的になり、それにより免疫作用も強くなり、長生きにつながる。
- インプラントに欠点はないのですか?
- 医学的な欠点はありませんが、それ以外で欠点は3つあります。 手術が必要。
外科的な手術が必ず必要です。ただし、手術中の痛みはほとんどありませんし、鎮静化で行うことも可能ですので、大きな欠点ではありません。 費用がかかる。
インプラントは高度医療のため、普通の歯科治療よりどうしても費用がかかります。ただ、インプラントの有用性、健康への寄与度などを考えると決して高い費用とはいえません。 期間がかかる。
通常のインプラントのケースでは、下顎で3ヶ月半、上顎で4ヶ月半かかります。
ほかに、骨を増やす方法(GBR法)や、上顎洞を持ち上げる手術をした場合は、さらに1~3ヶ月かかる場合もあります。 - 歯周病でも大丈夫ですか?
- 歯周病の方は、歯周病の治療が優先です。当院では歯周病や歯内治療も含め、包括的な治療を行っております。
- インプラントはどの歯科医師でもできますか?
- 法的にはできますが、豊富な経験、実績、知識があり、常に勉強を怠らず、新しい知識も吸収している歯科医師であることが望ましいです。
- もしインプラントが成功しなかったらどうなるのですか?
- もしインプラントが成功しなかった場合は、その結果は3~4ヶ月後に分かります。そのときは、インプラントの種類を変えるか、大きさや長さを変えてふたたび手術をします。
- 家族や友人に反対されました。どうすればいいですか?
- 昔のインプラントは、成功率もやや低い時期がありました。また、一部のインプラントは長もちしませんでした。そして外科的な不安から反対されているのだと思います。ただ、現在は、インプラントは、世界的にもコンセンサスの得られた治療法です。
- 骨の量が少なくてもインプラントはできますか?
- 当院では、骨の少ない方には、骨を増やす方法(GBR法)や、上顎洞を持ち上げる方法(サイナスリフト、ソケットリフト)、骨の幅が少ない方には、スプリットクレスト法など、さまざまな方法に対応します。手術ができない可能性はとても低いです。
- インプラントは何でも噛めますか?
- インプラントの咬合力は天然歯に匹敵します。慣れるまでに、多少時間がかかることもありますが、おおむね何でも噛めます。食感も天然歯とほとんど変わりません。
- 手術時間はどのくらいかかるのですか?
- 埋め込む本数が1~2本であれば、正味30~50分くらいです。術前投薬や血圧を測るなどの時間を入れても長くて1時間半くらいです。本数が多いときには、プラス30分くらいかかることもあります。
- 手術当日に、仕事や遊びはできますか?
- 手術当日は、体に負担のかかることは避けたほうがいいです。ただ、軽いお仕事や遊びであれば問題ありません。
- 手術当日は、運動や食事は大丈夫ですか?
- 手術当日は、運動は避けてください。とくに激しい運動をされると、血流が盛んになり、痛みや出血の原因になります。また身体が疲れると、傷口の治りも遅れます。お食事は、インプラント手術をした反対側でしてください。
- 手術当日は、お風呂に入っても大丈夫ですか?
- シャワー程度にしてください。
- 手術後にブラッシングはできますか?
- 手術をした部位の周辺は、1週間~10日くらいは、歯ブラシは避けてください。傷口を縫い合わせている糸がほつれたり、傷口がくっつきにくくなったりするためです。歯ブラシの代わりに、うがい薬をお渡ししますので、食後と寝る前にうがいをしてください。歯ブラシの代わりです。
- 手術後、歯が入るまでの間は、歯が抜けたままなのですか?
- 前歯の場合は、仮歯を入れます。見た目が悪くならないようにするためです。
奥歯の場合はケースバイケースです。奥歯は咬合力が強くかかるので、インプラントと骨との結合が妨げられる怖れがあるときには仮歯は入れません。ただ、どうしても仮歯をご希望のときには入れます。
- インプラント手術後の注意事項はなんですか?
- 通常のインプラントの手術は、その刺激は抜歯程度なので、大きな心配はいりません。 具体的な注意事項は、
- 手術部位は1週間~10日くらい歯ブラシはできません。専用のうがい薬でうがいしてください。手術部位以外は歯ブラシできます。
- 抗生物質(化膿どめ)、消炎酵素剤を3日~5日くらい飲んでいただきます。
- 手術当日は、激しい運動や、お風呂、お酒は控えてください。
- お食事は手術をしていない反対側で食べてください。
- タバコは傷口の治りを遅らせます。術後3日くらいは、控えめにされたほうがいいです。
- 食べ物で気をつけるものはありますか?
- とくにありません。
- 将来、体に影響はないですか?
- インプラントは、チタンという材質からできておりますが、チタンが体に悪影響をおよぼすことはありません。
- インプラント治療後は定期検診が必要だと聞きましたが費用はいくらくらいですか?
- 定期検診の費用は、通常2000円くらいです。必要に応じてレントゲン撮影をしたときは、プラス1000円くらいになります。定期検診は、インプラントやご自身の天然歯を守るため、とても重要です。
- インプラントが歯周病になったらどうするのですか?
- 通常の天然歯と同じように、歯周病の治療をします。場合によっては歯周病の手術をすることもあります。
- インプラント治療後にほかの歯が悪くなったら、やり直すのですか?
- ほかの歯が悪くなった場合は、通常インプラントには関係ありませんので、インプラントをやり直す必要はありません。インプラントと天然歯を連結してかぶせることは、ほとんどないからです。
- 手術後、外見上の問題はありませんか?
- 手術後、腫れることがあります。ただ、腫れたとしても、それは外科的な刺激を加えたことに対する反応として腫れたので、異常なことではありません。腫れる確率は、大体1割から2割くらいです。もし腫れたとしても、数日から1週間で元に戻ります。
- インプラントの歯ブラシはどうするのですか?
- 基本的には天然歯と同じです。ただ、歯間ブラシを使ってください。歯間ブラシで丁寧にみがかないと、歯垢(プラーク)はなかなか取り除けません。具体的なやり方は上部構造をつけたときに歯科衛生士が分かりやすくご説明いたします。
セカンドオピニオン/個別相談のご案内
当院では、患者さんが抱えていらっしゃるお口のお悩みや疑問・不安などにお応えする機会を設けております。どんなことでも構いませんので、私たちにお話ししていただけたらと思います。
ご興味がある方は下記からお問い合わせください。
保険の制度では、セカンドオピニオンとして保険が適応されていませんので、それぞれの医院によって内容が変わってきます。
※知識を聞くことを無料だと思っている方は、他院の保険制度をご利用ください。
※前医院の恨みつらみ、悪口などを申す機会ではございませんのでご理解ください。