
ワイヤー矯正、マウスピース矯正
当院での豊富な症例実績
当院で扱っている「矯正装置」は?
歯並びが気になっていて「矯正治療を行いたい」と思っているみなさん。
今では「矯正治療」といっても様々な方法があります。大きく3つに分類され、当院が採用しているのは下記となります。それぞれ詳しくご紹介します。

- ワイヤー矯正(表側/裏側)
- マウスピース矯正(インビザライン)
- ハイブリッド矯正
「ワイヤー」を使った矯正(表側/裏側)
まずは従来からの矯正治療である「ワイヤー矯正」についてご紹介します。矯正治療としては歴史のある治療法ですが、改良が重ねられています。
表側:唇側矯正 セラミックブラケット

ワイヤー矯正で通常よく行われるのは「メタルブラケット」ですが、こちらは術者にとって治療はしやすいですが、「見た目」に難点があり当院では使用しておりません。
当院では「セラミックブラケット」を採用しています。これは「歯の色」に似ていて目立ちにくい「オームコのスピリットMB」というブラケットです。表側矯正ですが、周囲の目を比較的気にせずに、矯正が出来ると思います。
裏側:舌側矯正 STb
歯の裏側(舌側)に矯正装置を装着する治療法において、当院で使用するのは「オームコのSTbライトリンガルシステム」です。歯の裏側に装着するので、周りの人に気づかれずに治療が行えます。歯をコントロールしやすく、ほとんどの症例に対応できるというメリットがあります。
セットアップ模型
装着用ジグ
矯正装置装着時
矯正装置装着後
上記のようにセットアップ模型をつくり、矯正装置を装着し、装着用のジグでそのままの形で口腔内に移動するので治療精度が高まります。
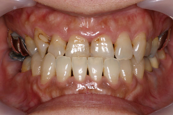
コラム治療中の「見た目」にも、
こだわっています
当院では、矯正治療中においても、見た目にこだわった治療を行っています。
下記のようなこだわりがあります。
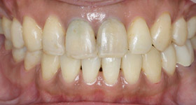
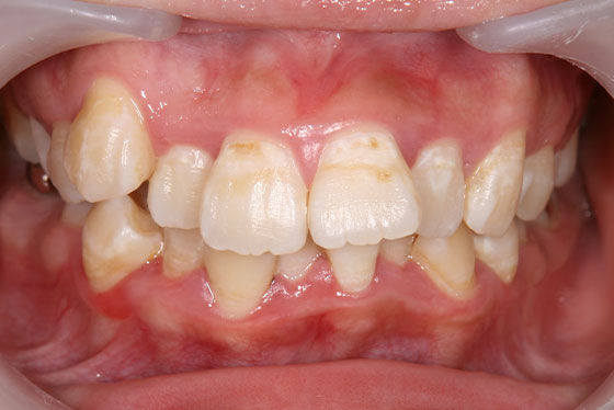
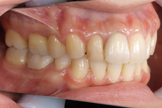
矯正装置はこの程度見えます
見せたくない場合、「裏側」から矯正することも可能です。
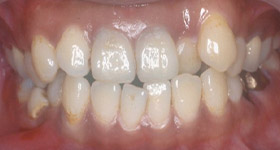
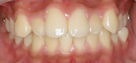
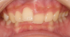
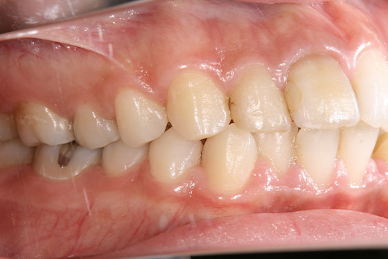
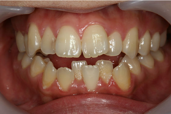
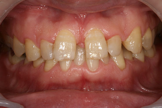
【術前】
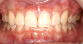
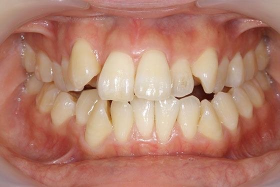
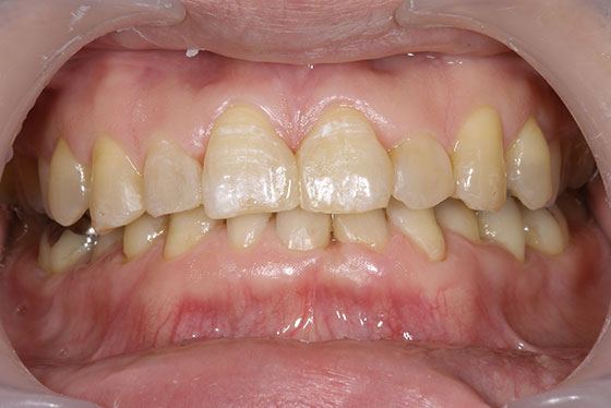
この程度の矯正範囲なら、見えませんし、短期間で終了します
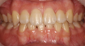
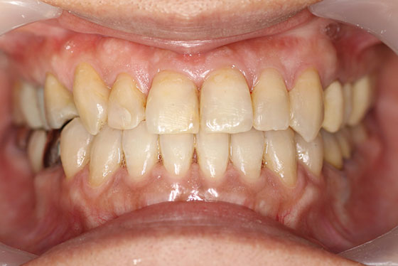
【歯の調和のライン】
「マウスピース型矯正(インビザライン)」
マウスピース矯正とは、透明なマウスピースを装着して行う治療法です。形の異なるマウスピースを一定期間ごとに取り換えながら歯を動かしていく方法となります。
その特徴は下記となります。
- 取り外しが可能
- 透明なので目立ちにくい
- 20時間以上の装着が必要
- 食事中、歯磨き中は外せる
- 人工知能(AI)をフル活用
- 治療前に、治療後の歯並びをシミュレーションできる
当院で採用しているのは、シェアが世界第一位を誇る「インビザライン」です。
世界NO.1のシェアを誇る「インビザライン」

インビザラインとは、マウスピース型矯正装置の先駆的な企業「アライン・テクノロジー社」(米国)が開発した製品となります。
世界でも100ヵ国以上、900万人を超える方々が使用している実績があります。その実績の高さは、世界中の歯科医師から高い信頼を得ているインプラントであることが示されています。
治療前に、「治療後の歯並び」をシミュレーションできます!

治療前に、「治療後の歯並び」が確認できていれば、安心ですよね。
そのために当院では「iTero」という装置を導入しています。自分の歯並びが整っていく様子をご確認いただくことができます。
「前歯だけの部分矯正」にも対応!

歯並びは全体だけでなく、「部分的」に矯正することができます。
「前歯」だけ綺麗に矯正したい方でも、対応可能ですので、ご相談ください。
【要注意】マウスピース矯正で歯が動かない等の「問題」発生

マウスピース矯正は、人工知能(AI)をフル活用して行われる治療です。「ワイヤー矯正」と比較すると、人間(歯科医師)の介入がずっと少ない治療法となります。

確かに近年のAIの進化は目覚ましいものがありますが、それでも完璧ではありません。人が細かく調整を行わないと、歯が予定通りに動かないことがあります。
最近よく耳にするのが、調整を行わない歯科医院があること。また、調整が必要なことを知らない歯科医院もあります。そのため、「やり直し」が発生してしまう患者さんも増加しています。
注意して欲しいのは、「料金」だけで決めずに、「担当医の実績」や「症例」を確認してから決めてほしいということです。
そして、マウスピース矯正の「メーカー」についても、確認してください。
下記のようなメーカーもありますので、ご注意ください。
- 低価格かつ低品質なメーカー
- 臨床実績が少ないメーカー
- 適応ケースが限られるメーカー
- 「前歯」しか動かせないメーカー
- 国内で認証されていない材料で作られているメーカー
メーカーによって、品質が異なりますので、治療を受ける歯科医院がどのメーカーのインプラントを使っているかを確認して欲しいと思います。
「治療期間を大幅に短縮させる」ハイブリッド矯正
ご紹介してきた「ワイヤー矯正」「マウスピース矯正」は、どちらも矯正装置ではありますが、それぞれ「特徴」は全く異なります。それぞれにメリット・デメリットがあります。
「ハイブリッド矯正」は、両方の「メリット」を活かした治療法です。
ワイヤー矯正のメリットは、歯並びを大きく動かすこと。
マウスピース矯正のメリットは、細かい微調整をスピーディに行うこと。
2者の良さを活かし、最初に「ワイヤー矯正」を装着し、その後、「マウスピース矯正」を装着していきます。そうすると、以下のような効果が期待できます。
- 治療期間が大幅に短縮できる
- 「難症例」にも対応できる
- 治療後半に「目立たないマウスピース」を使える
ご興味のある方は、一度ご相談いただければと思います。
美しさのヒミツ「Eライン」を意識した矯正!

人は、左右の顔のバランスが整っているほうが「美しい」とされています。
そして、横顔も「美しさ」を決める重要な要素です。

「Eライン」という言葉をご存じでしょうか?
エステティックラインのことで、美しい横顔の決め手は「鼻から顎にかけての形」だと言われていて、この2点を結ぶ直線ラインが「Eライン」です。日本人の場合、下唇の位置がEラインよりも2mm前方で、下唇はライン上にあると、美しい横顔だと言われています。
当院では、矯正治療を行う際に「Eライン」も考慮します。
フェイスラインを整えたい方は、「美容外科」を考える方が多いかと思います。「矯正治療」と「美容外科」の違いをまとめてみましたので、ご確認ください。
| 矯正 治療 ![]() | 美容 整形 ![]() | |
| 費用 | 数十万~90万以内 | 数十万~100万以上 |
| 治療期間 | 1年~2年半 | 数日~数か月 |
| 体への負担 | 小さい | 大きい |
| 変化 | 自然な変化 | 不自然になってしまう可能性あり |
| 持続性 | 治療後はその状態を維持できる | 施術内容によっては永続性がない。 |
「美容外科」は治療期間が短いというメリットがあります。しかし、「高額」「身体への負担」「永続性がない」というデメリットがあります。
「矯正治療」の場合、治療期間が長いというデメリットがあります。しかし、美容外科との大きな違いとして、ご自身が本来持っている「自然な美しさ」を引き出せる治療法であることです。
フェイスラインを整えたい方は、「矯正治療」も選択肢の一つとしてお考えいただければと思います。
過去に行った矯正治療が「後戻り」してきた方へ
矯正治療後に、歯並びが戻ってしまうことがあります。これを歯科用語で「後戻り」と呼びます。その原因の多くは、リテーナー(保定装置)を治療後にしっかり付けていないからです。
そして、後戻りした方は、以下のような悩みが現れると思います。
- また、高額な治療費がかかってしまうのか…
- また、何年も治療を行う必要があるのか…
しかし、そこまで心配されることはないかもしれません。

後戻りした歯は、部分的な矯正で済む場合が多いため、全体矯正と比較して、
- 費用が安くなる
- 治療期間も短い
場合が多いからです。
当院では、治療前に、費用や期間について詳しくご説明しますので、遠慮なくご相談ください。
矯正治療だけでなく、「総合治療(虫歯治療・抜歯)」にも対応

「矯正治療」(特にマウスピース矯正)に対応している歯科医院はとても多くなっています。
矯正だけ行う「矯正専門医院」と矯正以外も行っている「総合歯科医院」に分類できます。
どちらが良いと思いますか?
違いを簡単にまとめましたので、まずはご確認ください。
ちなみに当院は「総合歯科医院」です。
| 専門性 | 抜歯 | 虫歯/歯周病治療 | 1つの医院で完結 | |
|---|---|---|---|---|
| 矯正「専門」医院 | ◎ | × | × | × |
| 「総合」歯科医院 | 〇or△ | 〇 | 〇 | 〇 |
矯正専門の歯科医院は、矯正治療しか行いません。矯正前に、抜歯が必要だったり、虫歯や歯周病が見つかった場合は他院で治療を受けなければなりません。
一方、総合歯科医院では、抜歯、虫歯・歯周病治療、そして矯正治療まで全て対応できます。
もちろん、どちらの医院が良いかは、患者さんによって異なります。
ひとつの歯科医院ですべて対応できる方が良いという方は、「総合歯科医院」がマッチするでしょう。また、専門性を優先させたい方(特にワイヤー矯正)は、「矯正専門医院」ということになります。しかし、当院の場合、ワイヤー矯正において高い実績を持っておりますので、専門性においても同等ということになります。
コラム矯正のクオリティを上げるための
「こだわり」

当院では、長い目で見たお口全体の健康につながる矯正治療に力を入れています。
そしてそのクオリティを高める努力を常に行っています。
そこで採用しているのが「セットアップ模型」を使った治療計画と、口元の見た目を気にせず治療できる「舌側矯正」、支点を歯以外に求める「歯科矯正用アンカースクリュー」を用いた矯正治療です。
矯正歯科 Q&A
- 矯正治療は何歳から始められますか?
- もっとも効率の良い開始記時期は「お口周りの状態」により異なります。そのため気づいた時点でなるべく早くご相談ください。成長を利用する矯正治療は、男の子は13歳、女の子は11歳までと言われています。
- 大人になってからも治療できますか?
- 小児矯正治療とは異なり、顎の成長を利用することはできませんが、大人になってからも治療を受けられます。お口周りが健康なら年齢制限はありません。
- 治療期間と費用はどれくらいですか?
- お口の状態によって治療方法は異なりますので、費用もそれぞれです。歯を動かす期間は数年で、月に1~2回程度の通院が必要です。さらに治療後1年程度は保定のための通院があります。
- 治療を開始するまでにはどのくらいの通院が必要ですか?
- 初診や検査、診断、ブラッシング指導のために3~4回の通院が必要です。さらに矯正装置の装着のためにもご来院いただきます。調整やクリーニングのためには月に1~2回程度の通院が必要です。
- 抜歯は必要ですか?
- 歯並びがかなり乱れているときは抜歯をしたほうがよい場合があります。お口の状態やご要望に合わせて診断します。
- 痛みはありますか?
- 初めて装置をつけた時には、1~2日ほどは歯が浮いたような痛みがあります。その痛みはすぐに慣れますので、心配いりません。
- ブラッシングに工夫しなければなりませんか?
- 矯正装置を装着すると汚れが残りやすいので、丁寧なブラッシングが必要です。通常のブラッシングよりも少し工夫が必要ですが、すぐに慣れる程度です。
- 矯正治療中に虫歯ができたら治療できますか?
- 虫歯ができると矯正装置をいったん外さなければならない可能性があります。すると矯正治療の期間が延びてしまいますので、虫歯にならないように毎日ブラッシングしてください。
セカンドオピニオン/個別相談のご案内
当院では、患者さんが抱えていらっしゃるお口のお悩みや疑問・不安などにお応えする機会を設けております。どんなことでも構いませんので、私たちにお話ししていただけたらと思います。
ご興味がある方は下記からお問い合わせください。
保険の制度では、セカンドオピニオンとして保険が適応されていませんので、それぞれの医院によって内容が変わってきます。
※知識を聞くことを無料だと思っている方は、他院の保険制度をご利用ください。
※前医院の恨みつらみ、悪口などを申す機会ではございませんのでご理解ください。






































