日本歯周病学会
「専門医/指導医」が
必ず担当します
「再発」「抜歯」を防ぐ治療に
こだわります
- 精密機器を用いた
「科学的な検査」 - FMD療法で「短期集中治療」
- 「歯周再生療法」で抜歯を回避
〒530-0002 大阪府大阪市北区曾根崎新地1丁目4−20 桜橋IMビル 4F
06-6344-5535

「再発」「抜歯」を防ぐ治療に
こだわります







当院院長・川里邦夫は日本歯周病学会から「専門医/指導医」として認定された、歯周病治療の専門家です。
これらの資格を取得するには、数多くの症例を経験しているだけでなく、所定の試験に合格する必要があります。
また、歯科先進国と呼ばれるスウェーデン・イエテボリ大学で研修を受け、世界基準の歯周病治療を提供しています。
現在では「日本歯周病学会」「日本臨床歯周病学会」「アメリカ歯周病学会(AAP)」の3つの歯周病学会に所属し、歯周病治療の研鑽を積んでいます。


| 1988年 | 徳島大学歯学部卒業 |
|---|---|
| 1993年 | 川里歯科医院開設 |
| 2007年 | かわさと歯科・矯正歯科開設 |
| 2009年 | アメリカ歯周病学会(AAP)メンバー承認 |
| 2011年 | 日本歯周病学会認定 歯周病認定医取得 スウェーデン・イエテボリ大学歯周病科で研修 |
| 2012年 | 日本臨床歯周病学会認定 歯周病認定医取得 |
| 2015年 | 日本歯周病学会認定 歯周病専門医取得 |
| 2022年 | 日本歯周病学会認定 歯周病指導医取得 |
歯周病の治療は、歯科医師と歯科衛生士がタッグを組んで取り組みます。
当院の歯科衛生士は、日本歯周病学会「認定歯科衛生士」の鈴木朋湖が指導しており、日々、技術向上の研鑽に励んでいます。


今、このホームページをご覧になっている方は、歯周病でお悩みで、解決の糸口を探してここにたどり着いたのだと思います。
ご安心ください。歯周病は一度発症してしまうと再発しやすい病気ですが、その原因は解明されているので、治療や予防ができます。
にもかかわらず、日本国内には歯周病の患者さんが約400万人もいるといわれています。軽症の方を含めれば、国民の8割が歯周病にかかっているという統計もあります。
多くの患者さんが苦しんでいるのが現実です。
いったい、どうしてこうなってしまったのでしょう。
主に2つの原因が考えられます。

歯周病は、「生活習慣病」です。歯科医院で治療するだけではなく、ご自宅でのケアや生活習慣の改善が必要となります。これらができていないと、常に歯周病のリスクがある環境で生活していることになります。

歯科医院での治療に原因があるケースです。
そもそも歯周病は、歯周病菌を原因とする感染症です。原因となる菌に対してアプローチしていかないと、治すことはできません。
しかしながら、歯周病の治療といえば歯石や歯垢の除去に終始している歯科医院が多いです。確かにこれらも大切ですが、十分ではありません。
治療しても再発してしまう方、何本も歯を失ってしまった方は、このどちらか、あるいは両方に問題があることが大半です。
繰り返しますが、歯周病は治療と予防ができる病気です。お悩みの方は、まずは当院にご相談ください。

精度の高い治療を行うには、的確な診断が必要です。その後、お口の状態に合わせて最適な治療法を提案いたします。
当院の診断方法と、治療についてご紹介します。

歯周病は、あごの骨を溶かす病気です。病状は歯肉の中で進行します。骨の様子を確認するため、当院では「CT」を使って検査します。
CTはレントゲンと同じくX線を用いた検査装置です。360度回転して撮影するので、あらゆる方向からの透過映像を立体的に確認でき、2次元のレントゲンより詳しく病状を把握できます。

お口の中の唾液を検査することで、原因菌を検出できるほか、患者さんひとりひとりの固有のデータが得られます。どのくらい歯周病になりやすいのかなどのをリスクを判定することもできます。

歯周病の原因菌にはさまざまな種類がありますが、中でも特に厄介なのが「P.g.菌」です。歯周組織を破壊するだけでなく、人体の抵抗力を下げるので、普段は無害な他の菌までが有害化します。近年の研究では、動脈硬化やリウマチ、アルツハイマーなどの病気にP.g.菌が関与していることを示す証拠が見つかっており、特に注意が必要です。
当院では、この「P.g.菌」を検出できるPCR検査機器「オルコア」を導入しています。
これらの検査を通して正確な状況を把握し、適切な治療計画を提案いたします。
歯周病は、細菌による感染症です。歯周病の治療の基本は、細菌の塊ともいえる歯垢や歯石を取り除いていくことにありますが、これだけでは不十分です。当院では、次のような方法で原因菌に直接アプローチし、治療効果を高めていきます。

抗生物質のひとつである「ジスロマック」という薬を服用していただきます。風邪をひいたときに風邪薬を飲むのに似ています。

除菌剤を入れたマウスピースをお口にはめていただくことで、原因菌をじっくりと取り除きます。

お口の中には何億、何兆もの細菌が住み着いており、善玉菌と悪玉菌が常に勢力争いをしています。このバランスが崩れて悪玉菌が増えると、歯周病になりやすくなります。
プロバイオティクス療法は、この勢力バランスを整えて、悪玉菌の増殖を抑える治療法です。
※初診時に購入はできません

一般的な歯周病治療は、お口の中を6つの区域(ブロック)に分けて、ひとつずつ治療していきます。しかし、歯周病菌は2週間ほどで増殖してしまいます。このため、処置を済ませたブロックが、再び歯周病菌に感染することがあります。
「FMD療法」は抗生剤を併用した治療法で、数回の処置で歯周病菌を徹底的に駆除する治療法です。短期間で、効果を最大限に引き上げた治療方法です。
治療は自費診療となりますが、短期間で歯周病を治したい方にお勧めしています。

歯周病が進行すると、歯を支えている骨が溶けて、歯がグラグラしてきます。ここまで症状が進むと「抜歯」となることが多いのですが、当院では「歯周組織再生療法」という治療法で、あごの骨の再生を目指します。骨が再生すれば、抜歯の必要はなくなります。
具体的な治療法を、以下に紹介します。
(以下の治療法は、症例によっては適用できないことがあります)
歯肉を切開し、あごの骨が失われた部分に「エムドゲイン」や「リグロス」という薬品を塗ることで、骨の再生を促します。個人差はありますが、数ヶ月〜1年程度で骨が再生します。




歯周病の治療後、失われた組織は少しずつ再生していきます。本来は骨にも再生する能力が備わっているのですが、骨よりも歯肉が再生するスピードが速く、骨が再生されるスペースを歯肉が覆ってしまい、実際には骨が再生されることはありません。
歯肉の再生を抑え、骨の再生を促す治療法が「誘導組織再生療法(GTR)」です。
骨が再生されるスペースを「メンブレン」という膜で覆うことで、骨が歯肉に邪魔されることなく再生します。


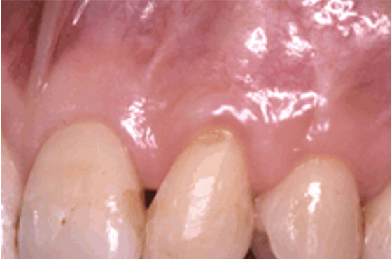
歯周病が進むと、歯肉が退縮して歯が長くなったように見えてしまいます。
この状態を改善できる治療法が「歯肉移植術」です。上あごからご自身の歯肉を切り取り、患部に移植することで、退縮した歯肉を回復させることができます。


歯周病が進行すると、治療器具が届かないほど歯周ポケットが深くなることがあります。こうなると、通常の方法では歯周ポケットの中の歯石を取り除くことはできません。
このような場合は、外科的に歯肉を切り開いて歯石などを取り除く「歯周外科治療」を行います。
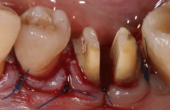
「FOP法」は、歯肉を切り開いて奥深くの歯石を取り除く術式です。直接目で見ながら歯石を取り除けるので、ほとんど取り残しがありません。


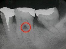
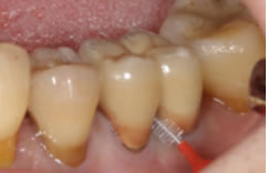
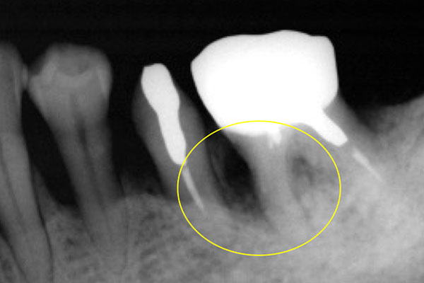
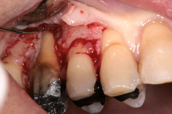
歯周病が進行して、歯の根元まで炎症が広がることがあります。右の写真をご覧ください。赤丸で囲んだ分が黒くなっています。ここは、歯肉が衰え、歯と歯肉の間にできたすき間です。ここに付着した歯石を取り除くことはできません。放置すると歯周病がさらに進行して、やがて抜歯となってしまうでしょう。
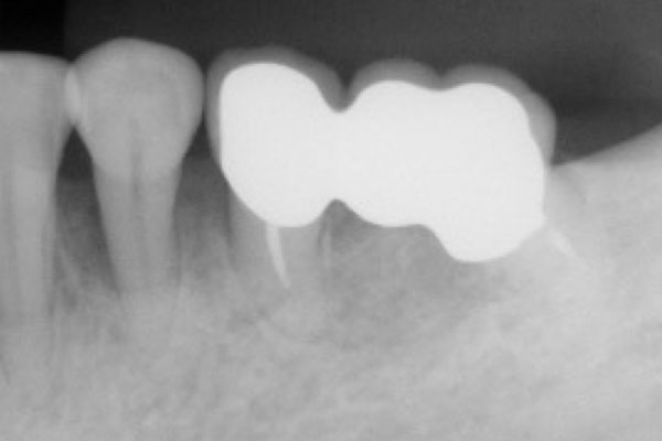
そこで、外科的手術で歯の根を露出させて歯石を取り除きます。さらに歯の根の間に歯間ブラシが入るように穴をあけ、お手入れしやすくします。この術式を「トンネリング」といいます。


トンネリングと同様、歯の根の枝分かれした部分に歯石が付着した際の治療法です。
「ルートセパレーション」は、歯を2〜3個に分割して、歯石を清掃しやすい状態にする治療法です。最終的には分割した歯にかぶせ物をして、見た目や機能性も回復させます。


ヘミセクションは、ルートセパレーション後に残った2根のどちらかを抜歯し、最終的には歯にブリッジをして、見た目や機能性も回復させます。


トライセクションは、ルートセパレーション後に残った3根の1〜2根を抜歯し、最終的には歯にかぶせ物をして、見た目や機能性も回復させます。




ルートアンプテーションは、トライセクションの際に、歯冠を残し、歯根のみを抜歯し、最終的には歯にかぶせ物をして、見た目や機能性も回復させます。



歯周病の治療は、私たち歯科医院と、患者さんの二人三脚で進めていきます。
患者さんには、ご自宅でも毎日の歯みがきや、歯科医院での定期的なメンテナンスを続けていただく必要があります。
歯周病は「生活習慣病」です。歯科医院でいくら治療をしても、歯周病を引き起こした生活習慣が変わらなければ、再発する危険性は残ります。
近年の研究では、歯周病が次のような重大な病気に関わっていることがわかってきました。

今や歯周病は、お口の中だけの病気ではないというのが専門家の共通認識です。「歯周病=歯を失う病気」という認識ではなく、「歯周病=命にかかわる病気」という認識の転換が必要です。
冒頭に書いたように、歯周病の原因は解明されているので、治療や予防ができます。毎日歯みがきを続け、定期的に歯科医院でメンテナンスを受ければ恐れることはありません。
お口のケアをしっかり続けて、歯周病を根治させましょう。
歯周病の治療、予防には、定期的に歯科医院でメンテナンスを受けていただくことが欠かせません。また、「計画的な管理」「患者さんのライフスタイルへの精通」「信頼関係」を要する治療でもあります。
毎回来院するたびに、担当する者が変わってしまうと、患者さんとの信頼関係も気付きにくく、担当者間の情報の連絡漏れが出ることで、患者さんにご迷惑をかけてしまうことがあります。
そうならないために、当院では患者さんごとに担当する衛生士を決めて、治療を進めていきます。

当院では、患者さんが抱えていらっしゃるお口のお悩みや疑問・不安などにお応えする機会を設けております。どんなことでも構いませんので、私たちにお話ししていただけたらと思います。
ご興味がある方は下記からお問い合わせください。
保険の制度では、セカンドオピニオンとして保険が適応されていませんので、それぞれの医院によって内容が変わってきます。
※知識を聞くことを無料だと思っている方は、他院の保険制度をご利用ください。
※前医院の恨みつらみ、悪口などを申す機会ではございませんのでご理解ください。
